Smile and the World Smiles Back at You!
Never Stop Smiling
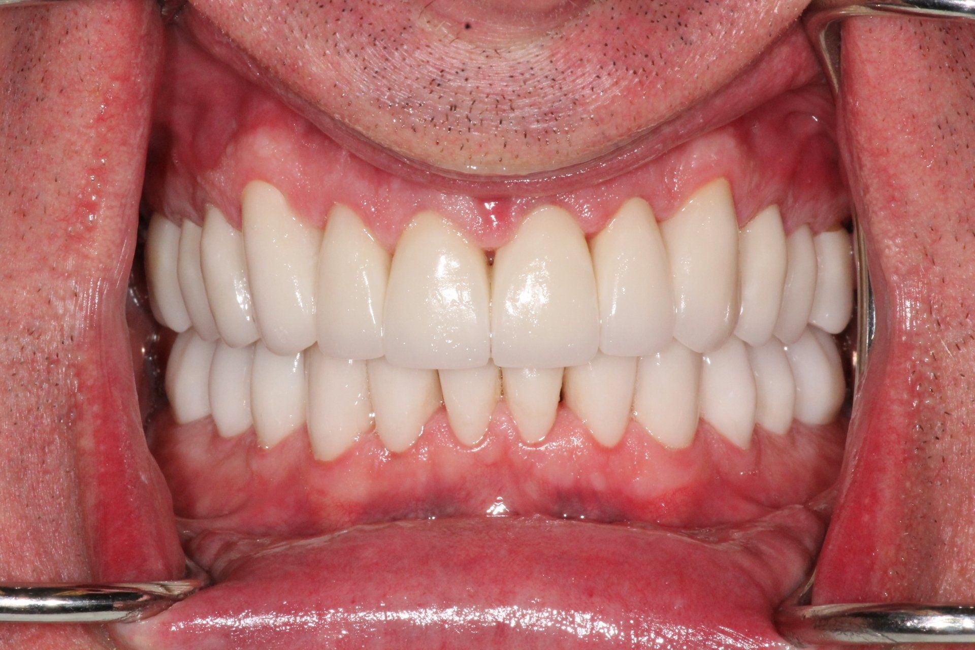
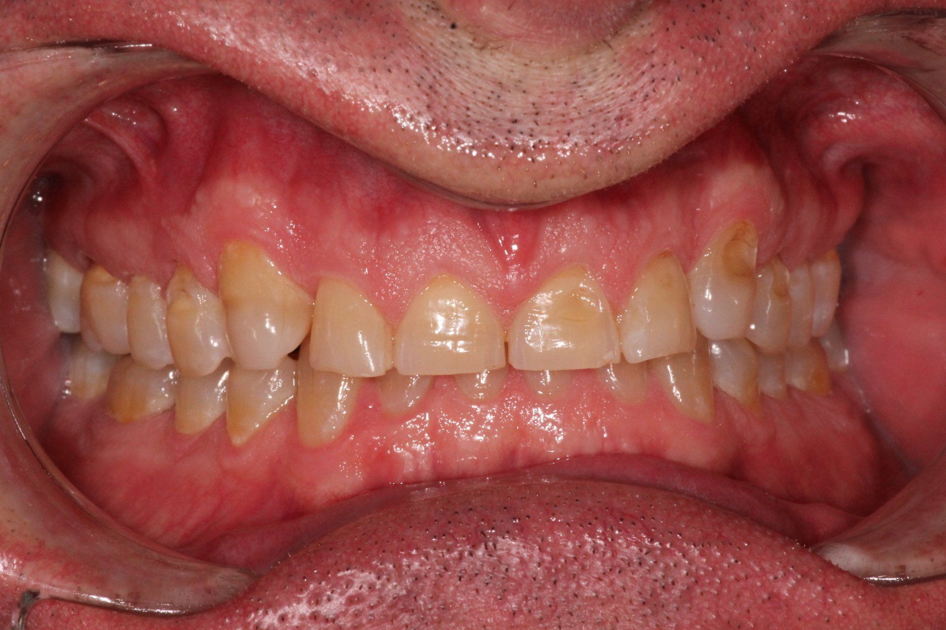
Our goal is to make you want to smile all day long and cosmetic dentistry can help you obtain the smile you have always wanted. Modern advances in cosmetic technology and materials allow our team to enhance your teeth and smile with quick and painless treatment options.

Your Smile Speaks Before You Say a Word
Your smile is a gateway to your personality and there is nothing more important than making a great first impression. You'll love the latest non-invasive procedures and artistic techniques Dr. Bachmann uses to perform cosmetic treatment for chipped, broken, and discolored teeth.
Start Your Smile Transformation
- Smile Design
- Replace Missing Teeth
- Lighten the Color of Teeth
- Change the Size and Shape of Certain Teeth
- In-Office and On-the-Go Teeth Whitening
- Full Porcelain Crowns
- Veneers
- Invisalign® Removable Clear Aligners (Braces)
Call today and get started on the smile you've always deserved.
239-948-5900
"I always feel very taken care of when I'm at Estero Dental. The staff is all so kind and welcoming. It is a positive environment to be in, and that's a lot to say for a dental office! My husband has also had a lot of issues with his gums, and they have been kind and intentional about helping him through the process of getting better and healthier gums! We love Estero Dental and always recommend them if someone is looking for a dental office."
Kyrie







